主な疾患

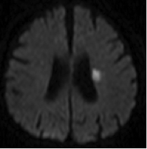
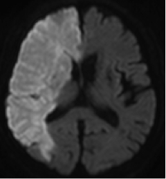
脳梗塞

脳梗塞とは


脳の血管が詰まり、脳への血流が途絶えて壊死することにより起こる病気です。脳が傷む場所により半身麻痺、言語障害、知覚障害、視野の障害などの症状が単独、あるいは組み合わさって出現し、重症の場合は意識障害が出現します。
脳梗塞には大きく分けて次の3種類があります。


1)ラクナ梗塞


脳の中の細い血管が1本詰まることにより起きる脳梗塞です。脳が壊死する範囲は比較的狭く、軽症で済むことが多く、命に関わることはありません。しかし詰まる場所によっては重い半身麻痺などの後遺症が残ることもあります。治療は点滴と飲み薬が主体で手術が行われることはありません。この脳梗塞になる方はたいてい、高血圧症をもっています。




2)アテローム血栓性脳梗塞


脳に行く太い血管が、粥状硬化性病変(アテローム:コレステロールなどの塊)により細くなるか詰まって血流が足りなくなり起こす脳梗塞です。中高年で動脈硬化の危険因子(高血圧症、糖尿病、脂質異常症、喫煙、肥満)を持っている方に多く見られます。血管が詰まる場所により症状や重症度は様々です。状態によっては病状が落ち着いてから手術やカテーテルの治療が行われることがあります。




3)心原性脳塞栓症


心房細動、心臓弁膜症、心筋梗塞などの心臓の病気により、心臓内に形成された血栓(血の塊)が流出し、脳の動脈を閉塞することにより起きる脳梗塞です。片麻痺、言語障害など症状が突然出現し、一気に完成するのが特徴です。詰まる血管が太い場合には最初から意識障害が出現し、生命に関わることがあります。3種類の脳梗塞の中で、最も重症になりやすい脳梗塞です。




脳梗塞の治療


1)超急性期;発症したばかり


血栓溶解療法; 脳梗塞を発症して4.5時間以内であれば血栓溶解療法といい、脳の血管に詰まった血の塊を溶かす薬(アルテプラーゼ:t-PA)を使うことがあります。つまり、なるべく早く血流を再開させて脳が傷むのを最小限にしようとする治療です。この薬は脳梗塞を発症してから早ければ早いほど効き目が良い薬です。


血栓回収療法; それでも血の塊が溶けない場合は血栓回収療法といい、カテーテルという細い管を足の付け根の動脈から脳の中の動脈まで入れて、血の塊を掻き出してくる治療が行われることもあります。 詳細はこちら


2)急性期;発症して数日


点滴で脳梗塞の症状が最小限で済むように治療を行います。また飲み薬で脳梗塞の再発を防ぎます。なるべく早期からリハビリテーションを始めます。


診療科

受診について

診療時間
月~金曜日 8:30~17:00
(午後は予約・紹介・小児科のみ)
診療受付時間 8:20~11:00/
自動受付機は7:40より稼働
休診日
土・日曜日、祝祭日、年末年始
休日・時間外診療
救急センターにて対応します。

0776-23-1111

〒918-8503
 福井県福井市和田中町舟橋7番地1

ページトップへ