主な疾患

頸動脈ステント留置術 (Carotid Artery Stenting: CAS)

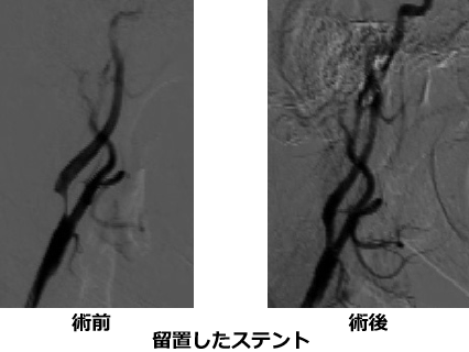
頸部内頸動脈起始部に高度狭窄があると、これにより脳梗塞が生じる恐れがあります。薬物治療が第1選択ですが、狭窄が高度であったりプラークが不安定であったりする場合には、治療に対する危険性を考慮しても、血管拡張術を行った方が脳梗塞発症率が少ないと考えられます。


治療法


太ももの付け根の動脈よりカテーテルを挿入し、
1) 狭窄部から頭蓋内に血栓が飛ばないように、狭窄部の末梢に血管閉塞用のバルーン(風船)もしくはフィルターを留置
2) あらかじめ血管拡張用のバルーン(風船)で狭窄部を拡張してステント(血管を広げる金属でできた網)を留置。
3) 狭窄が残ったら、再度、血管拡張用のバルーン(風船)で拡張
4) デブリス(血液や血管壁のかす)を回収して、血管閉塞用のバルーン(風船)もしくはフィルターを抜去



診療科

受診について

診療時間
月~金曜日 8:30~17:00
(午後は予約・紹介・小児科のみ)
診療受付時間 8:20~11:00/
自動受付機は7:40より稼働
休診日
土・日曜日、祝祭日、年末年始
休日・時間外診療
救急センターにて対応します。

0776-23-1111

〒918-8503
 福井県福井市和田中町舟橋7番地1

ページトップへ