主な疾患

脳腫瘍

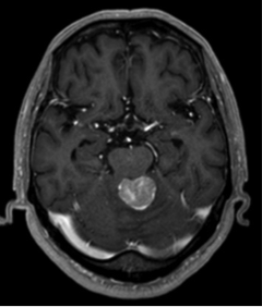
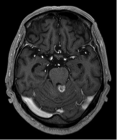
1.髄膜腫

原発性脳腫瘍で最も多い腫瘍ですが、脳そのものから発生するのではなく、脳を包んでいる髄膜から発生します。一般的には良性腫瘍ですが、まれに悪性のこともあります。大きくなると頭痛や麻痺などの症状が出ますが、症状がなくてCT・MRIなどの検査で偶然見つかる場合もあります。小さい場合は経過観察することが多いですが、大きい場合は手術が必要になります。また手術で取り切れない場合や、部位的に摘出困難な場合はサイバーナイフ・トモセラピーによる定位放射線治療を行う場合もあります。


手術前


手術後


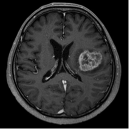
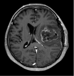
2.グリオーマ(神経膠腫)


脳そのものから発生する脳腫瘍の中で一番多い腫瘍です。悪性度の低いグレード1から、きわめて悪性のグレード4である膠芽腫まであります。なるべく手術で多く摘出しますが、場合によって診断をつけるだけの生検手術に終わる場合もあります。手術は顕微鏡、モニタリング、蛍光剤などを使って安全な手術を心がけています。放射線治療、化学療法も行います。


手術前


手術後


3.転移性脳腫瘍


脳腫瘍の中で最も多い腫瘍です。1個の単発こともありますが、多い時には100個くらい見つかることもあります。手術して摘出する場合もありますが、ほとんどはサイバーナイフ・トモセラピーによる定位放射線治療で治療します。手術と放射線治療の両方を行うこともあります。癌の種類によっては化学療法が有効の場合もあります。定位放射線治療による治療効果は、消失約10%、縮小約80%で、きわめて有効です。手術・定位放射線治療のいずれも困難な場合は、全脳照射を行います。


トモセラピー前


トモセラピー後


診療科

受診について

診療時間
月~金曜日 8:30~17:00
(午後は予約・紹介・小児科のみ)
診療受付時間 8:20~11:00/
自動受付機は7:40より稼働
休診日
土・日曜日、祝祭日、年末年始
休日・時間外診療
救急センターにて対応します。

0776-23-1111

〒918-8503
 福井県福井市和田中町舟橋7番地1

ページトップへ