主な疾患

変形性膝関節症

病気について、症状等

膝の関節は大腿骨と脛骨、そして膝蓋骨(お皿の骨)によって関節が形成されております。その関節の表面には軟骨が存在し、クッションの役割と関節をスムーズに動かす働きを担っております。加齢による変化に体重増加や重労働などによる膝への負担、O脚変形等の要因が加わり、徐々に軟骨がすり減っていくと、関節は変形し、痛み等の症状が出現します。日本人はもともとO脚の傾向にあるため、膝の内側に負担がかかり、内側の軟骨がすり減り、さらに内側に負荷がかかるという悪循環で変形性関節症が進行していきます。内側の変形が主体の内側型(O脚)と外側が主体の外側型(欧米に多く、X脚といわれる)と内外側とも変形するタイプに分けられます。
変形性関節症は女性に多く、40代後半より徐々に患者数が増加し、60歳以上では女性の4割に認められるとも言われております。今後さらに高齢化がすすみ、ますます増える傾向にあります。

保存的治療法

初期には痛みの強いときは痛み止めの薬やシップ等にて痛みと炎症の軽減をはかります。また、ヒアルロン酸の注射も有効な方法ですが、痛み止めの注射ではないため、すぐに効果が現れるものではなく、5~10回くらい続ける必要があります。
関節の進行を少しでも抑えるために大腿四頭筋訓練(ももの筋を鍛える訓練)や体重のコントロール等の患者さん自身の努力も必要となります。また長時間の歩行や階段昇降、正座なども出来るだけ避けたほうがよいと思われます。しかし、関節の変形が進行すると手術以外に有効な治療法がないのが現状です。将来的には軟骨の損傷を修復あるいは進行させない薬の開発が待たれるところです(現在、健康食品として巷をにぎわせているグルコサミンなどの効果はまだ認められておりません)。

関節鏡視下手術

関節鏡という内視鏡のカメラを膝関節内に挿入(約1cmの創、2~3箇所)し、テレビのモニターを見ながら関節内を観察し、同時に手術も行います。関節内の軟骨、半月板、靭帯などの状態を観察し、半月板の損傷があれば半月板切除術、滑膜炎が認められれば滑膜切除術を行います。また、直視下に軟骨の状態(変形性関節症の有無や程度)の評価はできますが、変形性関節症による軟骨の損傷に対しては例外を除いて関節鏡視下手術では有効な治療法は現在のところありません。麻酔は通常腰椎麻酔(下半身麻酔)で行い、1時間くらいの手術です。関節鏡クリニカルパスという入院治療計画に沿って行い、入院期間は1週間以内です。


内側半月板損傷

半月板切除後

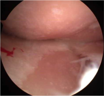
軟骨の磨耗像

軟骨が欠損し、骨が露出


高位脛骨骨切り術(HTO)


日本人はもともとO脚の傾向にあるため、内側の変形が主体の内側型(O脚)が大部分を占めます。そこで、脛骨(すねの骨)の膝に近い部分で骨切を行い、外側に傾ける手術(外反、X脚にする)のことを高位脛骨骨切り術といいます。X脚にする事によって体重のかかる場所を膝の内側から外側に移動させる手術です。外側の軟骨がまだ残っている人に可能な手術です。
手術の方法には外側の骨を三角形に切り取って外側を縮める方法や内側を骨きりし、広げる方法などがあります。当科では主に内側を骨きりする方法を用いております。入院期間は約4週間です。
特にこの方法は60歳以下の若い方やや活動性の高い(重労働も含む)人に行われる手術です。しかし、10年後の成績は人工関節より悪いという報告もあり、悪化した場合には人工関節に置換することもあります。



内側の軟骨は欠損し、骨が露出している。
内側を青線のように骨きりし、内側を広げて間に人工骨を挟んだ後、プレートで固定。


人工関節置換術

人工関節には関節全体を置換する全置換術(TKA)と内側あるいは外側の悪い関節側だけの半分を置換する片側型置換術(UKA)の2種類があります。

人工膝関節片側型置換術(UKA)

先ほども述べましたが日本人では内側の変形が主体の内側型(O脚)が大部分を占めますので内側を置換する場合がほとんどです。ただしこの片側型置換術は、内側型の変形性関節症で、外側の軟骨が温存されているのは当然ですが、そのほかにいくつかの条件を満たさなければできない手術です。
人工膝関節全置換術(TKA)と比べると出血量が少なく、回復は早く、膝も曲がりやすくなるなど有利な点がある反面、技術的に手術が難しいといわれております。
片側型人工関節(UKA)クリニカルパスを用いて入院期間は約1~2週間です。



内側型変形性関節症に対して片側型人工関節(UKA)を施行。


人工膝関節全置換術(TKA)

軟骨が徐々にすり減り、最後には軟骨が消失し、骨と骨が擦れあうようになった状態を末期の変形性膝関節症といいます。末期の状態では人工関節以外に有効な治療法がないのが現状です。
人工膝関節全置換術(TKA)は通常は60歳以上の方におこなっておりますが、関節リウマチの場合には若年者で高度の関節破壊が生じた場合には、20歳代や30歳代でもやむを得ず行うこともあります。
手術後の合併症として下肢静脈血栓症(足の静脈に血栓が生じる)と肺塞栓症(足にできた血栓が流れて肺に詰まる)が最近大きな問題となってきております。それに対して早期離床、ストッキングの着用や足の裏から血行をよくする機械の装着など対策を行っておりますが、完全に予防することはできません。また、血栓予防の薬も人工関節の際には使用しております。



高度の内反変形に対して人工膝関節全置換術(TKA)施行。
内側の軟骨は高度に欠損している(左:関節鏡所見)。


人工膝関節再置換術

人工関節の約9割は20年後もうまく機能しておりますが、残りの人は入れ替えが必要になります。その原因には感染、人工関節の緩み、骨融解(骨がとけてくる)などが上げられます。特に人工関節の緩みが最も多く、人工関節の再置換(入れ替え)が必要になります。放置するとどんどん悪化し、手術がさらに困難になりますので、緩み等が明らかとなった場合には早急な手術が必要となります。



人工関節の緩み、人工関節周囲の骨融解像(骨が解けている)を認める。
手術中の写真:人工関節のプラスチックが磨り減っているのがわかる。
人工関節の再置換術(入れ替えの手術)を行った。



人工関節の緩み、人工関節の亜脱臼(ずれている)、人工関節周囲の骨融解像(骨がとけている)、そして白くもやもやした影を認める。

手術中の写真:関節内が黒くなっている(金属が磨り減って金属粉が関節内に蓄積している)、人工関節の金属とプラスチックが磨り減っているのがわかる。

人工関節の再置換術(入れ替えの手術)を行った。


診療科

受診について

診療時間
月~金曜日 8:30~17:00
(午後は予約・紹介・小児科のみ)
診療受付時間 8:20~11:00/
自動受付機は7:40より稼働
休診日
土・日曜日、祝祭日、年末年始
休日・時間外診療
救急センターにて対応します。

0776-23-1111

〒918-8503
 福井県福井市和田中町舟橋7番地1

ページトップへ