主な疾患

変形性股関節症

病気について、症状等

変形性股関節症は先天性股関節脱臼や生まれつき臼蓋(股関節の屋根の部分)のかぶりが悪く、長年股関節に負担がかかっていたため、関節表面の軟骨がすり減って股関節が変形し股関節の痛みや歩行障害の原因となる病気です。そのほか原因不明のものや大腿骨頭壊死、けがのあとにも変形性股関節症が生じる可能性があります。変形の程度により”前期,初期,進行期、末期”と4つの病気の状態に分けられます。この変形の程度にくわえて、股関節の状態、年齢、患者さんの社会的要因(仕事、家庭の事情)などを考慮して治療法が決定されます。

寛骨臼回転骨切り術(RAO)

末期の状態になれば股関節を人工物に入れ替えるしか治療法がなくなります。しかし、前期や初期の状態であれば条件さえあえば自分の骨を利用した手術により、変形をくいとめ十分に機能を回復させることが可能と考えます。 手術は臼蓋(骨盤)の骨をくり抜きこれを回転させることで股関節のかぶりを良くするものです。術後はリハビリテーションプログラムに従ってリハビリを行い、入院は1ヵ月半から2カ月必要です。また手術後の筋力などの回復には半年以上を要します。


前十字靭帯が断裂している

靭帯再建術後

1年後の靭帯の状態


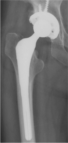
人工関節置換術(THA)


特に関節が強く破壊された状態を「末期」といい、通常は人工関節しか方法はありません。人工股関節に置換することによって、関節の痛みや歩行障害などが改善すると思われます。手術後は、リハビリテーションプログラムにそってリハビリを行い、通常の手術では術翌日から歩行を開始し、入院期間は2週間の予定です。
手術後の合併症として感染、脱臼、血栓症(下肢静脈血栓症、肺血栓症)、人工股関節のゆるみなどがありますが、種々の対策を講じて、その発生の予防に努力しています。




人工股関節再置換術


人工股関節は改良を重ね、徐々に耐久性は向上してきましたが、人工股関節のゆるみ、磨耗や感染等により、人工関節の入れ替え(再置換)の手術が必要となる可能性があります。人工股関節の最初の手術の年齢が若年者(40歳代、場合によっては30歳代にも)にも行われるようになり、平均寿命も延びていることから再置換を要する患者さんも今後増加すると考えられています。
再置換の場合は骨がうすくなっていたり、大きな骨欠損があったり、人工関節と骨を固定するために用いた骨セメントの摘出に困難を極める場合もあり、最初の手術より技術的に難しく、手術時間も長時間を要します。また、出血量も多くなる傾向にあります。




高位脱臼に対する人工関節


生まれつき股関節が脱臼した状態で気づかずに放置されていた場合、正常な股関節より高い位置に関節が形成されていることがあります(高位脱臼)。脱臼した側の足の長さは5~6cm短くなっていることが多く、関節が変形し、痛みが出やすい状態になります。
このような場合、大腿骨を数cm切り取り(短縮骨切り術)、正常な関節の位置に新しく人工関節を作り直しする手術を行います。




大腿骨骨切り術


寛骨臼回転骨切り術ができないような関節の状態で、年齢が若く、人工関節に抵抗を感じている場合には、大腿骨の骨きり術が可能な場合があります。特に外反骨きり術は30~40歳代の、末期股関節症に行うことがあります。(しかし、人工関節に比べて、術後のリハビリの期間が長く、症状や関節の動きの改善が十分でない場合もあり、人工関節が選択されることが多くなっています)。



診療科

受診について

診療時間
月~金曜日 8:30~17:00
(午後は予約・紹介・小児科のみ)
診療受付時間 8:20~11:00/
自動受付機は7:40より稼働
休診日
土・日曜日、祝祭日、年末年始
休日・時間外診療
救急センターにて対応します。

0776-23-1111

〒918-8503
 福井県福井市和田中町舟橋7番地1

ページトップへ