主な疾患

目の解剖

目の構造

光は角膜、水晶体、硝子体を通りぬけて、網膜にあたり電気信号に変わります。その信号が視神経を通じて脳に伝わり像を知覚することができます。



正常な眼底(網膜)の写真



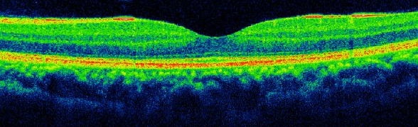
OCTスキャンによる網膜の断面図



診療科

受診について

診療時間
月~金曜日 8:30~17:00
(午後は予約・紹介・小児科のみ)
診療受付時間 8:20~11:00/
自動受付機は7:40より稼働
休診日
土・日曜日、祝祭日、年末年始
休日・時間外診療
救急センターにて対応します。

0776-23-1111

〒918-8503
 福井県福井市和田中町舟橋7番地1

ページトップへ