主な疾患

脳内出血

脳内出血とは


脳内出血は別名、高血圧性脳内出血とも呼ばれ、原因としては高血圧症が大部分を占めます。出血の部位、大きさにより症状、重症度は様々です。脳梗塞同様、半身麻痺、言語障害、知覚障害、視野の障害などの症状が単独、あるいは組み合わさって出現し、重症の場合は意識障害が出現します。


脳内出血の治療


①血圧を下げる


脳出血の患者さんは大抵、血圧が高くなっていますので、出血がさらに大きくならないように血圧を下げる治療を行います。出血は脳の中でゼリー状の塊になって脳を壊したり、圧迫するので、血の塊が小さければ小さいほど後遺症は少なくて済みます。従って脳出血を発症したらなるべく早く血圧を下げる治療が重要です。血の塊が小さければ数ヶ月で自然に吸収されて血の塊はなくなりますのでは手術する必要はありません。


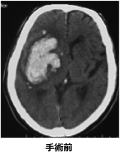
②緊急手術


ただ、病院を受診した時にはすでに血の塊が大きく命に関わりそうな場合は緊急手術が必要となります。手術は頭の骨に直径5cmほどの開頭を行い、脳の中の血の塊を摘出する手術です。細かい手術ですので手術用の顕微鏡を使用します。




診療科

受診について

診療時間
月~金曜日 8:30~17:00
(午後は予約・紹介・小児科のみ)
診療受付時間 8:20~11:00/
自動受付機は7:40より稼働
休診日
土・日曜日、祝祭日、年末年始
休日・時間外診療
救急センターにて対応します。

0776-23-1111

〒918-8503
 福井県福井市和田中町舟橋7番地1

ページトップへ